کيست آندومتريوما نوعى از کيست هاى تخمدانى است که به علت حضور بافت آندومتر در داخل تخمدان ايجاد مى شود. آندومتر بافت داخلى رحم است که در هر چرخه قاعدگى رشد مى کند و در صورت عدم باردارى ريزش پيدا مى کند. اما در برخى زنان اين بافت به جاى قرار گرفتن درون رحم، در نقاط ديگر از جمله تخمدان رشد مى کند. اين وضعيت باعث مى شود که بافت مانند داخل رحم در زمان قاعدگى خون ريزى کند و خون در محيط بسته تخمدان جمع شود. به مرور زمان اين خون کهنه و غليظ مى شود و رنگى شبيه شکلات ذوب شده پيدا مى کند. به همين علت نام کيست شکلاتى براى آن انتخاب شده است.
کيست آندومتريوما يکى از نشانه هاى پيشرفته بيمارى آندومترىوز است. آندومترىوز بيمارى اى است که در آن بافت آندومتر در نقاط مختلف لگن و شكم رشد مى کند و مى تواند باعث دردهاى شديد، چسبندگى هاى وسيع و مشکلات بارورى شود. وجود آندومتريوما نشان مى دهد که آندومترىوز از مرحله سطحى عبور کرده و وارد تخمدان شده است و اين مسئله مى تواند بر عملکرد تخمدان تاثير قابل توجهى بگذارد.
خدمات زنان و زایمان در کلینیک دکتر چایچی
چه عواملى باعث ايجاد کيست شکلاتى مى شوند؟
علت دقيق ايجاد آندومترىوز و آندومتريوما هنوز به طور کامل مشخص نشده است، اما چند نظريه مهم وجود دارد. يکى از رايج ترين نظريه ها اين است که خون قاعدگى به جاى خروج کامل از بدن، از طريق لوله هاى رحمى وارد حفره لگن مى شود و سلول هاى آندومترى در نقاط غير طبيعى مستقر مى شوند. نظريه ديگر تاثير عوامل ژنتيکى را مطرح مى کند که در آن برخى زنان به صورت ارثى زمينه ابتلا به آندومترىوز را دارند.
ضعف سيستم ايمنى نيز مى تواند باعث شود بدن نتواند بافت آندومتر خارج از رحم را از بين ببرد و اين بافت به رشد خود ادامه دهد. هورمون استروژن نيز نقش مهمى در رشد و فعاليت اين بافت ها دارد و به همين دليل زنان در سنين بارورى بيشتر در معرض اين بيمارى قرار دارند.
فرق کیست آندومترىوز و کیست آندومتريوما
- کيست آندومترىوز اصطلاح عمومى براى هر نوع کيست يا ضايعه ناشى از رشد بافت آندومتر در خارج از رحم است.
- کيست آندومتريوما نوع خاصى از آندومترىوز است که به صورت کيست پر از خون قديمى در داخل تخمدان ايجاد مى شود.
- آندومترىوز مى تواند هر نقطه اى از لگن را درگير کند اما آندومتريوما فقط در تخمدان ديده مى شود.
- آندومتريوما معمولاً پيشرفته تر بوده و تاثير بيشترى بر بارورى و درد لگنى دارد.
علائم کيست آندومتريوما و نشانه هايى که بايد جدى گرفته شوند
علائم اين کيست در افراد مختلف فرق مى کند. بعضى از زنان ممکن است سال ها بدون علامت باشند و تنها هنگام سونوگرافى متوجه وجود کيست شوند. اما در بسيارى از موارد علائم به مرور زمان شديد تر مى شود و زندگى روزانه را تحت تاثير قرار مى دهد.
- درد لگنى مزمن
يکى از مهم ترين نشانه ها درد مداوم در قسمت لگن است. اين درد ممکن است قبل از قاعدگى شروع شود و هنگام قاعدگى و حتى بعد از آن شدت بيشترى پيدا کند. گاهى درد به کمر يا ران ها انتشار پيدا مى کند و مانع انجام فعاليت هاى روزمره مى شود. - قاعدگى هاى بسيار دردناک
قاعدگى دردناک به طور معمول در زنان مبتلا به آندومترىوز ديده مى شود، اما کيست شکلاتى اين درد را چند برابر مى کند. درد قاعدگى ممکن است آنقدر شديد باشد که فرد ناچار به استراحت طولانى يا مصرف داروهاى قوى شود. - درد هنگام نزديکى جنسى
التهاب و چسبندگى هاى ناشى از آندومتريوما باعث مى شود بسيارى از زنان هنگام نزديکى جنسى دچار درد عميق شوند. اين علامت يکى از نشانه هاى مهم آندومترىوز پيشرفته است. - اختلالات قاعدگى
قاعدگى طولانى، خون ريزى شديد، لکه بينى قبل يا بعد از پريود، و دوره هاى نامنظم از ديگر علائم شايع هستند. - مشکلات بارورى و نابارورى
کيست شکلاتى مى تواند روند تخمک گذارى را مختل کند، روى ذخيره تخمدان تاثير بگذارد و باعث چسبندگى هاى وسيع در ناحيه لگن شود. به همين دليل زنان مبتلا بيشتر از ديگران در معرض نابارورى قرار مى گيرند. بسيارى از زنان هنگام بررسى علل نابارورى با اين بيمارى آشنا مى شوند. - نفخ و احساس سنگينى در ناحيه شکم
تجمع مايع در کيست و التهاب لگنى مى تواند باعث احساس فشار و سنگينى شود.

روش هاى تشخيص کيست شکلاتى
تشخيص دقيق براى انتخاب درمان مناسب ضرورى است. مراحل تشخيص شامل موارد زير مى شود:
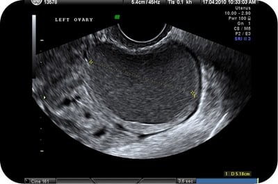
سونوگرافى واژينال
سونوگرافى اولين و ساده ترين روش براى شناسايى کيست است. آندومتريوما معمولاً در سونوگرافى ظاهرى يکنواخت و تيره دارد.
ام آر آى
اگر پزشک نياز به تصوير دقيق ترى داشته باشد يا سونوگرافى نتيجه قطعى ندهد، ام آر آى انجام مى شود. ام آر آى مى تواند تفاوت ميان کيست شکلاتى و ديگر کيست ها را به خوبى مشخص کند.
آزمايش خون مانند CA125
اين آزمايش سطح التهاب و احتمال حضور آندومترىوز را نشان مى دهد، اما به تنهايى براى تشخيص کافى نيست.
لاپاراسکوپى
دقيق ترين روش تشخيص آندومتريوز و آندومتريوما است. در اين روش پزشک با استفاده از دوربين داخل شکم را مشاهده مى کند و در صورت نياز همزمان کيست را خارج مى کند.
روش هاى درمان کيست آندومتريوما
انتخاب نوع درمان به عواملى مانند اندازه کيست، شدت درد، سن بيمار و وضعيت بارورى بستگى دارد.
درمان دارويى
در موارد خفيف و کوچک از داروهاى هورمونى براى کنترل رشد کيست و کاهش درد استفاده مى شود. اين داروها کيست را از بين نمى برند اما از پيشرفت بيمارى جلوگيرى مى کنند.
مسکن ها و داروهاى ضد التهاب
براى کنترل درد استفاده مى شوند اما تاثيرى بر کوچک شدن کيست ندارند.
جراحى لاپاراسکوپى
اگر اندازه کيست بزرگ باشد يا علائم شديد باشند، بهترين روش درمان جراحى لاپاراسکوپى است. در اين روش کيست به طور دقيق برداشته مى شود و تا حد امکان بافت سالم تخمدان حفظ مى شود. اين روش تهاجم کمترى دارد و دوران بهبود کوتاه تر است.
بارورى و درمان نابارورى
براى زنانى که قصد باردارى دارند، پزشک براساس سن، ذخيره تخمدان و شدت بيمارى تصميم مى گيرد که چه درمانى مناسب است. گاهى پس از جراحى احتمال باردارى طبيعى افزايش مى يابد. در موارد پيشرفته ممکن است نياز به روش هاى کمک بارورى مانند آى وى اف باشد.
آيا کيست شکلاتى خطرناک است؟
در بيشتر موارد خطر جدى مانند سرطان وجود ندارد، اما اگر درمان انجام نشود مى تواند باعث آسيب دائمى به تخمدان، کاهش شديد بارورى و دردهاى مزمن شود. همچنين چسبندگى هاى لگنى مى توانند مشکلات طولانى مدت ايجاد کنند.
متخصص درمان کیست آندومتريوما
براى درمان کيست آندومتريوما مراجعه به پزشک متخصص زنان ضرورى است و دکتر پرستو چاىچى متخصص زنان و زايمان در اردبيل يکى از پزشکان باتجربه در اين زمينه به شمار مى رود. تشخيص دقيق اين کيست و انتخاب روش مناسب درمان مانند دارو درمانى، کنترل هورمونى يا جراحى لاپاراسکوپى نياز به تبحر و تجربه بالايى دارد و دکتر چاىچى با مهارت در تشخيص و مديريت آندومترىوز و کيست هاى تخمدانى مى تواند به کاهش درد، جلوگيرى از پيشرفت بيمارى و بهبود بارورى کمک کند.
مراجعه به متخصص متعهد و آشنا با درمان هاى روز مى تواند از آسيب ديدن تخمدان و مشکلات طولانى مدت جلوگيرى کند و مسير درمان را براى بيمار ساده تر و مطمئن تر سازد.
نوبت دهی متخصص زنان و زایمان در اردبیل
شماره نوبت دهی: ۰۹۱۹۷۳۶۳۵۰۰


بدون دیدگاه